Periodoncia Clinica Dental Ricardo Fernández : salud y tratamiento para tus encías en Badajoz
La periodoncia es la rama de la odontología que se encarga de la prevención, diagnóstico y tratamiento de las enfermedades que afectan a las encías y al hueso que soporta los dientes. En Clínica Dental Ricardo Fernández, contamos con protocolos personalizados para cuidar de tu salud periodontal con rigor y cercanía.
¿Qué es la periodoncia y por qué es importante?
La enfermedad periodontal comienza de forma silenciosa, pero si no se detecta a tiempo puede evolucionar y comprometer la estabilidad de los dientes.
- La gingivitis es la fase inicial: inflamación, enrojecimiento y sangrado de las encías. Es reversible si se trata a tiempo.
- La periodontitis es una forma más avanzada que daña el hueso que sujeta el diente. Si no se controla, puede provocar movilidad dental o incluso pérdida de piezas.
Muchas personas aún llaman “piorrea” a esta enfermedad. Aunque ese término ha caído en desuso clínico, sigue presente en la memoria de quienes vieron perder dientes a sus padres o abuelos. Hoy sabemos más, diagnosticamos mejor y podemos evitar que avance.


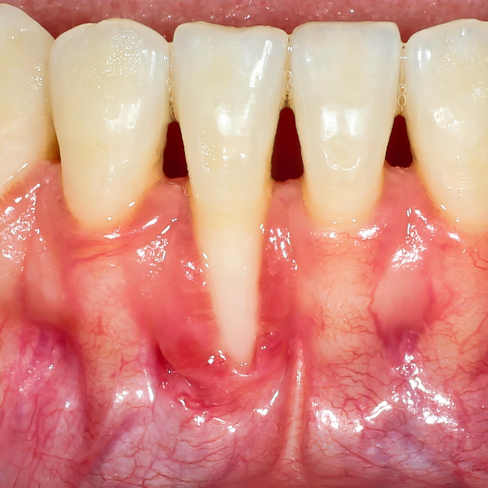
Señales que no debes ignorar
La enfermedad periodontal no siempre causa dolor, pero suele dar pistas claras:
- Sangrado de encías al cepillarse o de forma espontánea
- Encías inflamadas, rojas o retraídas
- Mal aliento persistente
- Sensación de dientes más largos o separados
- Movilidad dental
Si experimentas alguno de estos síntomas, es importante que acudas a una revisión. Cuanto antes se detecte, más fácil será frenarlo.
¿La enfermedad de las encías se hereda?
Muchas personas nos preguntan si perderán los dientes porque algún familiar los perdió a causa de la llamada “piorrea”.
La respuesta es que existe una predisposición genética, pero no es un destino inevitable. Si bien algunas personas heredan una mayor sensibilidad a las bacterias que afectan a las encías, el desarrollo de la enfermedad depende sobre todo del control y cuidado que se haga.
Con revisiones periódicas, higiene adecuada y tratamientos a tiempo, es posible conservar los dientes durante toda la vida, incluso si hay antecedentes familiares.


Tratamientos que ofrecemos
El tratamiento dependerá del grado de afectación y del estado de tus encías. En Clínica Dental Ricardo Fernández aplicamos las técnicas más efectivas y mínimamente invasivas:
Limpieza profunda y raspado radicular
Cuando hay acumulación de sarro bajo la encía, realizamos una limpieza profesional profunda, también conocida como raspado y alisado radicular, para eliminar las bacterias adheridas a la raíz dental.
Curetaje subgingival
En casos con bolsas periodontales más profundas, se realiza un curetaje para limpiar la raíz y eliminar el tejido inflamado. Este procedimiento se realiza con anestesia local y es bien tolerado.
Tratamiento de bolsas periodontales
Cuando las bolsas periodontales persisten o son muy profundas, evaluamos si es necesario realizar una pequeña cirugía periodontal para acceder mejor y regenerar el tejido.
Seguimiento y mantenimiento personalizado
La periodoncia no termina con el tratamiento. Establecemos un programa de mantenimiento adaptado a cada paciente, con controles periódicos y limpiezas específicas para evitar recaídas.
¿Cómo cuidamos tu salud periodontal a largo plazo?
- Establecemos un plan de mantenimiento periodontal individualizado, con revisiones cada 3, 4 o 6 meses según el caso.
- Te enseñamos a cepillar correctamente y a usar el hilo o cepillos interproximales.
- Evaluamos factores de riesgo como el tabaquismo, el estrés o enfermedades sistémicas como la diabetes.
Además del mantenimiento periodontal específico, también realizamos limpiezas dentales convencionales (profilaxis), recomendadas cada 6 a 12 meses en pacientes sin signos de enfermedad.
Estas sesiones ayudan a prevenir la aparición de placa, mantener un aliento fresco y evitar futuras complicaciones.


Preguntas frecuentes sobre salud periodontal
¿Por qué sangran mis encías?
El sangrado suele ser una señal de inflamación. Puede deberse a acumulación de placa, mal cepillado, o gingivitis. No es normal y debe revisarse.
¿Se puede curar la gingivitis?
Sí, si se detecta a tiempo. Con una limpieza profesional y buena higiene diaria, es posible revertir la inflamación sin secuelas.
¿Qué es un curetaje? ¿Duele?
El curetaje es una limpieza profunda bajo la encía. Se hace con anestesia local y no suele doler. Puede haber sensibilidad leve los días posteriores.
¿La periodontitis siempre implica pérdida de dientes?
No. Si se detecta pronto y se trata adecuadamente, la enfermedad puede detenerse, y los dientes pueden mantenerse funcionales durante años.
¿Qué relación hay entre piorrea y periodontitis?
La “piorrea” es el término antiguo y popular para la periodontitis avanzada. Aunque hoy no se usa clínicamente, muchas personas aún lo mencionan.
¿Necesitas ayuda con tus encías?
En Clínica Dental Ricardo Fernández, te ofrecemos un diagnóstico claro, explicaciones sin tecnicismos y un plan de tratamiento adaptado a ti.
Cuéntanos tus síntomas y te orientamos desde la primera consulta.
Recupera la salud de tus encías con un tratamiento de periodoncia en Badajoz basado en experiencia, tecnología y atención personalizada.
