Periodontitis : frena la movilidad y protege tus dientes en Clinica Dental Ricardo Fernández en Badajoz
¿Notas que algunos dientes se mueven, han cambiado de posición o parecen más largos que antes? ¿Tienes mal aliento o encías retraídas? Podrías estar ante una periodontitis, una enfermedad que afecta a los tejidos que sostienen los dientes y que, si no se trata, puede provocar su pérdida.
En Clínica Dental Ricardo Fernández, diagnosticamos y tratamos la periodontitis en todas sus fases, desde las más iniciales hasta los casos avanzados. Nuestro objetivo es ayudarte a conservar tus dientes el mayor tiempo posible con un tratamiento eficaz y personalizado.
¿Qué es la periodontitis y cómo evoluciona?
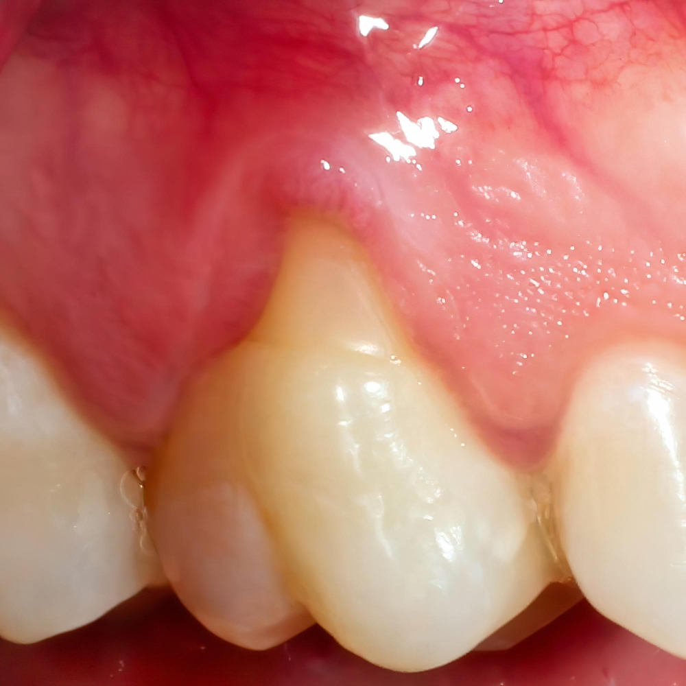
La periodontitis es una enfermedad inflamatoria de origen bacteriano que destruye el hueso y el ligamento que sostienen los dientes. Es la fase avanzada de una gingivitis no tratada, y se caracteriza por la formación de bolsas periodontales, encías retraídas y movilidad dental.
A medida que avanza, el hueso de soporte se pierde de forma irreversible. Pero si se detecta a tiempo y se trata adecuadamente, es posible frenar la progresión y conservar los dientes.


Señales de alarma en tus dientes
Estos son algunos de los síntomas más comunes que pueden indicar una periodontitis:
- Dientes que se mueven o han cambiado de posición
- Encías retraídas (dientes que parecen más largos)
- Mal aliento persistente, incluso tras el cepillado
- Sensibilidad al frío o al tacto
- Sangrado espontáneo o al cepillarse
- Dolor al masticar
- Pus o inflamación en la encía
Si detectas uno o varios de estos signos, te recomendamos pedir cita lo antes posible. Cuanto antes se actúe, más posibilidades habrá de salvar las piezas dentales.
¿Por qué se mueven los dientes?
Cuando la enfermedad avanza, se produce una pérdida de hueso dental alrededor de la raíz. Esto hace que el diente pierda su soporte natural y comience a moverse.
Además, los dientes pueden separarse, inclinarse o rotarse, lo que afecta tanto a la función como a la estética.
La movilidad dental no siempre implica que el diente esté perdido. Con el tratamiento adecuado, es posible estabilizarlo e incluso mejorar la posición y funcionalidad.


Tratamientos que ofrecemos en Clínica Dental Ricardo Fernández
Cada caso se valora de forma individual, mediante sondaje periodontal, radiografías y evaluación clínica. En función del grado de afectación, ofrecemos distintos tratamientos:
Raspado y alisado radicular
Limpieza profunda bajo la encía para eliminar bacterias y toxinas acumuladas en la raíz dental.
Curetaje subgingival
Procedimiento que limpia las bolsas periodontales y permite la regeneración del tejido gingival adherido.
Cirugías periodontales de acceso
Cuando las bolsas son muy profundas, se realiza una pequeña cirugía para exponer mejor la raíz, limpiarla y recolocar la encía.
Regeneración ósea periodontal
En ciertos casos, aplicamos injertos o biomateriales para estimular la regeneración del hueso perdido.
Terapias complementarias
Incluyen antibióticos locales, láser periodontal o desinfección por ultrasonidos, según el caso.
¿Se puede salvar un diente con periodontitis?
En muchos casos, sí. Todo depende del grado de afectación ósea, la respuesta al tratamiento y el compromiso del paciente con el mantenimiento.
Incluso dientes con movilidad leve o moderada pueden recuperarse funcionalmente si se actúa a tiempo.
En Clínica Dental Ricardo Fernández, abordamos cada caso con realismo, pero también con confianza. Hemos visto muchos dientes recuperarse tras estabilizar la enfermedad y aplicar técnicas regenerativas.

Mantenimiento y prevención a largo plazo
Tras el tratamiento inicial, el seguimiento es clave para evitar recaídas. Por eso diseñamos un plan de mantenimiento periodontal adaptado a tu caso:
- Revisiones con sondaje periodontal cada 3–6 meses
- Limpiezas profesionales específicas
- Control de factores de riesgo (tabaco, diabetes, estrés)
- Educación en higiene oral y técnicas personalizadas
La periodontitis es crónica, pero controlable. Con seguimiento adecuado, puedes mantener tus dientes y evitar nuevas fases activas.
Preguntas frecuentes sobre la periodontitis
¿Por qué se me mueven los dientes si me cepillo a diario?
La periodontitis puede avanzar incluso con cepillado si no se eliminan las bacterias profundas o si hay predisposición genética. El cepillo no alcanza las bolsas periodontales.
¿La periodontitis cambia la posición de los dientes?
Sí. La pérdida de soporte puede hacer que los dientes se separen, giren o inclinen. También puede afectar a la mordida.
¿Se regenera el hueso perdido?
En algunos casos, sí. Existen técnicas quirúrgicas y materiales específicos para lograr regeneración ósea parcial, dependiendo de la morfología del defecto.
¿Cuánto dura el tratamiento?
Varía según el caso. Desde 2–3 sesiones de limpieza profunda en casos moderados, hasta tratamientos quirúrgicos y regenerativos más largos.
¿Es doloroso?
No. Todos los tratamientos se realizan con anestesia local. Las molestias posteriores suelen ser leves y transitorias.


Preguntas frecuentes sobre la periodontitis
En Clínica Dental Ricardo Fernández tratamos la periodontitis en Badajoz con tecnología, experiencia y atención cercana.
Podemos ayudarte a frenar la enfermedad, mejorar la estabilidad de tus dientes y recuperar la salud de tus encías.
Cuéntanos tu caso y te explicamos las opciones de tratamiento para conservar tus dientes el mayor tiempo posible.
Actuar hoy puede marcar la diferencia.